Il posizionamento corretto del Sondino Naso Gastrico ha un razionale che è dipende dalle cause cliniche che ne richiedono il posizionamento, ma anche da principi di anatomia e fisiologia.
L'inserimento generalmente è una tecnica a 2 operatori e anche operatore dipendente perchè richiede una buona manualità.
Questa è la traduzione del capitolo 5.2 Basic Concept dell'ebook Nursing Advanced Skills un ebook che è in licenza open source e se serve del materiale per le tesi può essere preso liberamente citando la fonte.
La traduzione è stata riletta e l'unica incertezza è che ho trovato l'uso di 3 tipi di scrittuture che sono tutte corrette:
- sondino naso gastrico
- sondino naso-gastrico
- sondino nasogastrico
Nel testo ho pensato di utilizzare solo una forma, la prima.
L'altra modifica è l'acronimo di Sondino Naso Gastrico al posto dell'abbreviazione NG tubes presente sul testo originale ho messo SNG.
Buona lettura
Introduzione
Un sondino naso gastrico (SNG) è un tubo flessibile di plastica inserito attraverso una narice, lungo l'orofaringe posteriore e nello stomaco o nella parte superiore dell'intestino tenue. Viene in genere utilizzato per la decompressione dello stomaco nei pazienti con ostruzione intestinale o ileo o per la somministrazione di nutrienti o farmaci ai pazienti a rischio di aspirazione o che non sono in grado di tollerare l'assunzione orale. A seconda dello scopo previsto del sondino, esistono diversi tipi di sondini SNG progettati specificamente per il suo utilizzo. [1]
I sondini orogastrici (OG) hanno indicazioni, monitoraggio e cura simili ai sondini SNG, ma vengono inseriti attraverso la bocca anziché il naso. I sondini OG sono spesso preferiti per i pazienti sottoposti a ventilazione meccanica.
Anatomia e fisiologia
L'infermiere deve avere familiarità con l'anatomia e la fisiologia del naso, della faringe, dell'esofago e dello stomaco quando si prende cura di pazienti con sondini nasogastrici. Vedere la Figura 5.1 [2] per un'illustrazione della cavità nasale e della faringe.

Figura 5.1 Cavità nasale, faringe ed epiglottide
Le narici sono le aperture esterne della cavità nasale. Di solito, una narice è più grande e pervia dell'altra. Un setto, composto da osso e cartilagine, divide la cavità nasale destra da quella sinistra. Il pavimento nasale è parallelo al palato. L'estremità della cavità nasale è stretta e termina alla giunzione di diverse ossa, tra cui una porzione della lamina cribrosa, un osso molto sottile che, se fratturato, potrebbe fornire un accesso diretto al cervello. Per questo motivo, il posizionamento del sondino naso-gastrico nei pazienti con sospetto trauma cranico può essere controindicato.
La faringe è un condotto rivestito di mucosa che inizia nella cavità nasale ed è suddiviso in tre regioni principali: la rinofaringe, l'orofaringe e la laringofaringe.
- Il rinofaringe funge esclusivamente da via aerea. È un condotto muscolare situato all'inizio della faringe, dietro la cavità nasale. Curvandosi, si estende dietro la cavità orale, diventando l'orofaringe.
- L'orofaringe è una via di passaggio sia per l'aria che per il cibo. L'orofaringe è delimitata superiormente dal rinofaringe e anteriormente dalla cavità orale.
- La laringofaringe è situata inferiormente all'orofaringe e posteriormente alla laringe. Prosegue il percorso del materiale ingerito e dell'aria fino all'estremità inferiore, dove l'apparato digerente e quello respiratorio divergono. Anteriormente, la laringofaringe si apre nella laringe e posteriormente entra nell'esofago che conduce allo stomaco. La laringe è collegata alla trachea e ai polmoni, quindi è necessario prestare molta attenzione quando si inserisce un sondino naso-gastrico (SNG) per assicurarsi che entri nella laringofaringe posteriore e penetri nell'esofago, non anteriormente nella trachea e nei polmoni.
L'epiglottide è un lembo cartilagineo di tessuto connettivo situato all'ingresso della laringe. Durante la deglutizione, la laringe si muove verso l'alto e l'epiglottide si chiude sulla glottide per impedire l'aspirazione di cibo e liquidi nella trachea. Molti medici sfruttano questo movimento naturale durante l'inserimento del sondino naso gastrico chiedendo ai pazienti di deglutire ghiaccio o acqua una volta che il sondino naso gastrico ha superato l'orofaringe (ovvero la parte posteriore della cavità orale). Durante la deglutizione, il sollevamento e l'abbassamento della laringe e l'apertura e la chiusura dell'epiglottide possono facilitare il passaggio del sondino naso gastrico oltre la laringofaringe verso l'esofago. L'infermiere può chiedere al paziente di piegare il mento per facilitare questo passaggio.
L'esofago inizia dallo sfintere esofageo superiore e scende attraverso il diaframma, oltrepassa lo sfintere esofageo inferiore e raggiunge lo stomaco. Vedere la Figura 5.2 [3] per un'illustrazione di faringe, trachea, esofago e stomaco.

Figura 5.2 Faringe, trachea, esofago e stomaco
Indicazioni per i sondini SNG
Queste sono le indicazioni per i sondini SNG [4] :
- Per decomprimere lo stomaco e il tratto gastrointestinale (GI) (vale a dire, per alleviare la distensione dovuta a ostruzione intestinale, ileo o atonia)
- Per somministrare nutrimento e/o farmaci
- Per svuotare lo stomaco e prevenire l'aspirazione (ad esempio, i sondini SNG possono essere inseriti nei pazienti intubati per prevenire l'aspirazione)
- Per rimuovere il sangue dai pazienti con emorragia gastrointestinale [5]
- Per ottenere un campione di contenuto gastrico per valutare sanguinamento, volume o contenuto acido
- Per rimuovere le tossine ingerite
- Per somministrare antidoti come il carbone attivo
- Per somministrare agenti di contrasto radiopachi orali
- Per garantire il riposo intestinale
Ostruzione intestinale e ileo
L'indicazione più comune per il posizionamento di un sondino naso gastrico è la decompressione dello stomaco di un paziente con occlusione intestinale distale o ileo. L'occlusione intestinale è un blocco meccanico del contenuto intestinale causato da una massa, un'aderenza, un'ernia, feci impattate o altri blocchi fisici come il volvolo (ovvero la torsione dello stomaco o dell'intestino) o l'intussuscezione (ovvero un segmento dell'intestino si infila all'interno di un altro). Le ostruzioni intestinali bloccano il normale passaggio dei fluidi corporei come le secrezioni salivari, gastriche, epatobiliari ed enteriche, causando l'accumulo di fluidi, con conseguente distensione addominale, dolore e nausea. Alla fine, i fluidi si accumuleranno fino al punto che la nausea progredirà in emesi, esponendo il paziente al rischio di aspirazione. [6]
L'ileo si verifica quando si verifica una diminuzione o un'interruzione non meccanica del flusso del contenuto intestinale. L'ileo è spesso una conseguenza inevitabile di un intervento chirurgico addominale o retroperitoneale, ma può essere riscontrato anche in pazienti gravemente malati con shock settico o ventilazione meccanica. Un ileo si manifesta solitamente dal terzo al quinto giorno dopo l'intervento chirurgico e dura in genere da 2 a 3 giorni; l'intestino tenue è il più rapido a tornare alla funzione (da 0 a 24 ore), seguito dallo stomaco (da 24 a 48 ore) e infine dal colon (da 48 a 72 ore). Altre cause di ileo possono includere quanto segue [7]:
- Intervento chirurgico addominale/pelvico prolungato
- Chirurgia del tratto gastrointestinale inferiore (GI)
- Uso di oppioidi
- Infiammazione intra-addominale (sepsi/peritonite)
- carcinoma peritoneale
- Complicanze perioperatorie (polmonite o ascesso)
- Sanguinamento (intraoperatorio o postoperatorio)
- Ipokaliemia
- Nutrizione enterale ritardata o posizionamento del sondino naso gastrico (SNG)
L'inserimento di un sondino naso gastrico è un intervento temporaneo per l'ostruzione intestinale e l'ileo, quando la normale peristalsi è temporaneamente alterata. Serve a decomprimere lo stomaco e a mantenerlo vuoto fino al ripristino della normale peristalsi. Se la decompressione è necessaria per più di sei settimane, è possibile inserire un intervento più permanente, come un sondino digiunostomico.
Nutrizione e somministrazione di farmaci
I sondini nasogastrici possono essere posizionati per somministrare nutrimento o farmaci a un paziente con un tratto gastrointestinale funzionante ma che non è in grado di ingerire, masticare o deglutire cibo in modo sicuro o in quantità adeguate. Questa indicazione è comune per i pazienti che hanno subito un ictus che li ha resi incapaci di deglutire efficacemente. I sondini nasogastrici possono essere posizionati per il supporto nutrizionale in attesa di vedere quanto la funzionalità del paziente verrà recuperata. Se il paziente non recupera adeguatamente la capacità di deglutire o necessita di un supporto nutrizionale a lungo termine, viene posizionato un sondino di alimentazione più permanente, come un sondino di gastrostomia o digiunostomia. [8]
Altri esempi di condizioni in cui i pazienti hanno un tratto gastrointestinale funzionante ma non riescono a tollerare l'assunzione orale sono i seguenti:
- Livello di coscienza ridotto, come il coma o un paziente sedato e sottoposto a ventilazione
- Dopo un intervento chirurgico al tratto gastrointestinale superiore in cui un'anastomosi (vale a dire una connessione chirurgica tra parti dell'intestino) deve essere protetta nel periodo postoperatorio iniziale
- Durante il periodo preoperatorio per preparare i pazienti malnutriti a interventi chirurgici addominali importanti
Per molte di queste indicazioni relative al sondino naso gastrico (SNG), è possibile posizionare anche un sondino orogastrico (OG). Molti dei principi utilizzati per la gestione di un sondino naso gastrico sono gli stessi di un sondino OG, come il controllo del posizionamento e il monitoraggio di potenziali complicanze.
Controindicazioni per i sondini nasogastrici
Esistono due tipi di controindicazioni per qualsiasi procedura o intervento, denominate assolute e relative. Una controindicazione assoluta significa che la procedura o l'intervento può causare una situazione pericolosa per la vita e dovrebbe essere evitato se possibile. Una controindicazione relativa significa che è necessario usare cautela perché è possibile che si verifichi un evento avverso; pertanto, i benefici devono superare i rischi.
Le controindicazioni assolute al posizionamento di un sondino naso gastrico includono traumi facciali significativi; fratture della base cranica; o recenti interventi chirurgici al naso, alla gola o all'esofago, in cui il tentativo di posizionamento di un sondino attraverso le narici può esacerbare il trauma tissutale esistente. In alcuni casi di chirurgia esofagea, come l'esofagectomia, il chirurgo posizionerà il sondino naso gastrico in sala operatoria e poi lo rimuoverà quando indicato; l'infermiere non deve manipolare il sondino naso gastrico in questo caso. Anche l'ostruzione esofagea, come una neoplasia o un corpo estraneo, è una controindicazione assoluta al posizionamento del sondino naso gastrico. [9]
Le controindicazioni relative includono traumi esofagei, soprattutto se sono state ingerite sostanze caustiche. Anomalie della coagulazione o terapia anticoagulante possono causare sanguinamento dal trauma tissutale causato dal posizionamento del sondino. Per i pazienti con precedente intervento di bypass gastrico, riparazione di ernia iatale o anatomia gastrointestinale anomala (come varici o stenosi esofagee), i sondini naso-gastrici devono essere posizionati da un medico sotto endoscopia. [10]
Tipi di sondini nasogastrici
Esistono due tipi fondamentali di sondini nasogastrici: quelli utilizzati per la decompressione e quelli utilizzati per l'alimentazione.
Per la decompressione, si utilizza un tubo rigido a doppio lume, con un lume grande utilizzato per l'aspirazione e un lume più piccolo che funge da sump. (Un sump consente l'ingresso dell'aria per impedire l'aspirazione della mucosa gastrica negli occhielli all'estremità distale del tubo o l'ostruzione quando lo stomaco è completamente collassato.) Questi tubi sono spesso indicati come "Salem Sump". Il loro diametro interno varia da 6 a 18 French, con quelli più comunemente inseriti da 14 a 16 French. Un codino blu su questo tipo di tubo è la valvola di sfiato, quindi non deve mai essere clampato, collegato all'aspirazione o utilizzato per l'irrigazione. Vedere la Figura 5.3 [11] per un'immagine di un Salem Sump.

Figura 5.3 Salem Sump. Utilizzato secondo le norme del fair use.
I sondini SNG utilizzati per la somministrazione di farmaci o l'alimentazione sono a lume singolo e sono più morbidi di quelli utilizzati per la decompressione. Hanno un diametro più piccolo, con una dimensione che varia da 8 a 12 French. I sondini SNG inseriti per l'alimentazione o la somministrazione di farmaci possono essere un sondino di Levin o un sondino di Dobhoff. Un sondino di Levin è un semplice sondino SNG di piccolo diametro. Un sondino di Dobhoff è un tipo speciale di sondino SNG di piccolo diametro e flessibile, quindi più comodo per il paziente rispetto a un sondino SNG standard.
Il sondino viene inserito utilizzando un filo guida, chiamato stilo, che viene rimosso dopo aver confermato il corretto posizionamento del sondino. Un sondino di Dobhoff ha anche un peso all'estremità per consentire alla gravità e alla peristalsi di aiutare a far avanzare l'estremità del sondino oltre il piloro, fornendo un'ulteriore barriera per ridurre il rischio di aspirazione di nutrienti o farmaci somministrati. Vedere la Figura 5.4 [12] per un'immagine di un sondino di Levin e la Figura 5.5 [13] per un'immagine di un sondino di Dobhoff.

Figura 5.4 Tubo di Levin

Figura 5.5 Tubo Dobhoff con punta appesantita
Inserimento del sondino naso gastrico
L'inserimento di un sondino naso gastrico è in genere una procedura pulita (non sterile) e "alla cieca", il che significa che la persona che esegue la procedura non può visualizzare dove il sondino verrà inserito nel corpo del paziente mentre lo inserisce. L'inserimento prevede il passaggio del sondino attraverso il naso, lungo il pavimento nasale, attraverso la faringe e lungo l'esofago fino a quando l'estremità prossimale del sondino non si posiziona nello stomaco del paziente. Consultare la sezione " Checklist: Inserimento di un sondino naso gastrico " per istruzioni dettagliate sulla procedura.
I sondini nasogastrici vengono inseriti e rimossi da infermieri e altri operatori sanitari. Data la natura invasiva del processo di posizionamento, chiedere privatamente al paziente se desidera che i visitatori lascino la stanza durante il posizionamento o la rimozione del sondino naso gastrico. Gli infermieri si occupano quotidianamente dei sondini nasogastrici, nonché della somministrazione di formule nutrizionali, farmaci e altre sostanze attraverso il sondino.
La gestione infermieristica dei sondini nasogastrici è ulteriormente descritta nella sezione " Applicazione del processo infermieristico " di questo capitolo. L'infermiere è inoltre responsabile della verifica del corretto posizionamento del sondino naso gastrico prima del primo utilizzo e prima di ogni utilizzo successivo. [14]
Stima della profondità di posizionamento del Sondino Naso Gastrico
Da cinque a sette centimetri posteriormente alle narici, il seno nasale si collega al rinofaringe. La lunghezza della faringe dalla base del cranio all'inizio dell'esofago è di 12-14 centimetri. L'esofago, dallo sfintere esofageo superiore allo stomaco, è di circa 25 centimetri. Lo stomaco è una struttura altamente distensibile e può variare in lunghezza, ma lo stomaco vuoto è in genere lungo circa 25 centimetri. Pertanto, in un adulto vengono in genere inseriti circa 55 centimetri del sondino naso-gastrico. [15]
Esistono diversi metodi utilizzati per stimare la profondità a cui deve essere posizionato un sondino naso gastrico. Una manovra pre-procedurale comune utilizzata per stimare la lunghezza del sondino da inserire è quella di misurarlo dalla punta del naso del paziente al lobo dell'orecchio e poi contro la gola fino al processo xifoideo, circa 1,25-2,5 cm sotto l'incisura sternale. [16]
Circostanze speciali
L'inserimento di sondini nasogastrici zavorrati utilizzati per l'alimentazione, nonché di sondini nasogastrici per pazienti sottoposti a interventi chirurgici gastrointestinali, viene eseguito da infermieri specializzati, assistenti medici o medici specializzati.
Il sondino naso gastrico inserito in un paziente sottoposto a intervento chirurgico gastrointestinale non deve mai essere riposizionato a causa del rischio di rottura della linea di sutura. Se il sondino naso gastrico si sposta, è necessario avvisare il chirurgo.
Se il paziente è incosciente, è necessario valutare il riflesso faringeo prima di iniziare la procedura. Durante la procedura, flettere la testa del paziente in avanti con la mano non dominante, mentre il sondino naso-gastrico viene inserito attraverso la laringe. È necessario adottare ulteriori precauzioni per i pazienti con lesioni alla testa, per evitare il posizionamento errato del sondino naso-gastrico.
Richiedere assistenza prima di iniziare la procedura in base alle condizioni del paziente. Ad esempio, pazienti confusi, ansiosi, a rischio di estrazione del sondino durante l'inserimento e bambini spesso necessitano di assistenza. Inoltre, per i pazienti pediatrici è spesso utile avere i genitori o chi si prende cura di loro al capezzale. Ai neonati, può essere somministrato saccarosio per alleviare il disagio, in base alle politiche dell'agenzia.
Verifica del posizionamento del sondino naso gastrico
L'inserimento di sondini SNG è considerato una procedura semplice, ma un posizionamento errato può causare danni al paziente e potenzialmente la morte. Il rischio di danni e morte aumenta quando i sondini posizionati in modo errato non vengono identificati prima del loro utilizzo. Per questo motivo, il posizionamento deve essere verificato immediatamente dopo l'inserimento mediante radiografia per assicurarsi che non sia stato inserito inavvertitamente nella trachea e nei bronchi. L'infermiere deve monitorare segni e sintomi di posizionamento errato durante la procedura, come tosse, diminuzione delle letture della pulsossimetria e cianosi.
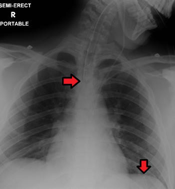
Se si verificano questi segni, il sondino deve essere immediatamente rimosso fino al ripristino della normale respirazione. Vedere la Figura 5.6 [17] per un'immagine di una radiografia che mostra il corretto posizionamento di un sondino enterale nello stomaco, come indicato dalla freccia rossa inferiore. (Questa radiografia mostra anche un tubo endotracheale posizionato correttamente nella trachea come indicato dalla freccia in alto.) Dopo la verifica radiografica, il tubo deve essere contrassegnato con nastro adesivo e/o un pennarello indelebile per indicare la misurazione sul tubo nel punto in cui il sondino di alimentazione entra nelle narici o penetra nella parete addominale.
Questo numero sul tubo nel punto di ingresso deve essere documentato nella cartella clinica e comunicato durante i rapporti di passaggio di consegne. All'inizio di ogni turno, l'infermiere deve valutare se la marcatura incrementale o la lunghezza esterna del tubo sono cambiate. Se si osserva una variazione, test al letto del paziente come la visualizzazione o il test del pH dell'aspirato del tubo possono aiutare a determinare se il tubo si è spostato. In caso di dubbio, il fornitore deve essere informato e una radiografia deve essere ripetuta per confermare la posizione del tubo. [18]

Figura 5.6 Verifica del posizionamento tramite raggi X
Dopo che il posizionamento del sondino è stato inizialmente verificato tramite radiografia, è possibile che il sondino si sposti dalla sua posizione a causa di tosse, vomito e movimento del paziente. Per questo motivo, l'infermiere deve controllare regolarmente il posizionamento del sondino prima di ogni utilizzo.
L'American Association of Critical-Care Nursing raccomanda che la posizione di un sondino di alimentazione venga controllata e documentata ogni quattro ore e prima della somministrazione di alimentazione enterale e farmaci, misurando la lunghezza visibile del sondino e confrontandola con la lunghezza documentata durante la verifica radiografica. [19] , [20] , [21]
I metodi più vecchi per verificare il posizionamento del sondino prevedevano l'osservazione del contenuto gastrointestinale aspirato o la somministrazione di aria nel sondino con una siringa durante l'auscultazione (comunemente noto come "test del sibilo"). Tuttavia, la ricerca ha stabilito che questi metodi sono inaffidabili e non dovrebbero più essere l'unico metodo utilizzato per verificare il posizionamento. [22] , [23]
La valutazione del pH del contenuto gastrico aspirato è un metodo che può essere utilizzato in combinazione con altri metodi per verificare il posizionamento in alcune agenzie. Se utilizzato, l'aspirato gastrico deve avere un pH inferiore o uguale a 5,5 utilizzando una cartina indicatrice di pH contrassegnata per l'uso con aspirato umano. Tuttavia, è necessario usare cautela con questo metodo poiché la formula enterale e alcuni farmaci alterano il pH gastrico. [24] Pertanto, il test del pH non deve essere utilizzato come unico metodo di verifica, ma piuttosto come parte di un approccio multifase che può includere la conferma radiografica o altre procedure approvate dall'agenzia.
Seguire le procedure dell'agenzia per la valutazione e la documentazione del posizionamento del sondino. Inoltre, se il paziente sviluppa sintomi respiratori che indicano una potenziale aspirazione, informare immediatamente il medico e sospendere l'alimentazione enterale e la somministrazione di farmaci fino alla verifica del posizionamento.
Potenziali complicazioni
Le complicazioni più comuni legate al posizionamento dei sondini nasogastrici sono disagio, sinusite o epistassi, tutte in genere risolvibili spontaneamente con la rimozione del sondino naso gastrico. [25] Altre complicazioni associate all'uso di un sondino naso gastrico vanno da lievi a più gravi e possono includere le seguenti condizioni:
- Trauma alle narici, alla laringe, all'esofago e/o allo stomaco durante l'inserimento.
- Trauma o erosione della mucosa gastrica, soprattutto se l'aspirazione gastrica è prolungata.
- Lesione da pressione della mucosa delle narici.
- Problemi correlati al posizionamento: il posizionamento accidentale nella trachea può causare lesioni pleuriche, pneumotorace, aspirazione tracheobronchiale, polmonite e morte. La difficoltà respiratoria è un'emergenza medica e deve essere richiesta immediatamente assistenza medica d'urgenza.
- Perforazione esofagea, evidenziata da dolore al collo o al torace, disfagia, dispnea, enfisema sottocutaneo o ematemesi.
- Inserimento intracranico accidentale attraverso una lamina cribrosa fratturata.
- Annodamento del sondino naso gastrico attorno a un tubo endotracheale o posizionamento retrogrado (ovvero, la punta prossimale del tubo si curva verso l'alto attraverso l'esofago).
- Questo lavoro è un derivato di StatPearls di Sigmon e An ed è concesso in licenza CC BY 4.0 ↵
- " Blausen_0872_UpperRespiratorySystem.png " dello staff di Blausen.com (2014). " Galleria medica di Blausen Medical 2014 " per WikiJournal of Medicine 1 (2). DOI : 10.15347/wjm/2014.010 . ISSN 2002-4436 è concesso in licenza CC BY 3.0 ↵
- “D_M3_24.jpg” di Cenveo, un autore sconosciuto, è distribuito con licenza CC BY 3.0 . Accesso gratuito all'indirizzo https://pressbooks.ccconline.org/bio106/chapter/digestive-structures-and-functions/ ↵
- Questo lavoro è un derivato di StatPearls di Sigmon e An ed è concesso in licenza CC BY 4.0 ↵
- Questo lavoro è un derivato di StatPearls di Sigmon e An ed è concesso in licenza CC BY 4.0 ↵
- Questo lavoro è un derivato di StatPearls di Sigmon e An ed è concesso in licenza CC BY 4.0 ↵
- Questo lavoro è un derivato di StatPearls di Beach e De Jesus ed è concesso in licenza CC BY 4.0 ↵
- Questo lavoro è un derivato di StatPearls di Sigmon e An ed è concesso in licenza CC BY 4.0 ↵
- Questo lavoro è un derivato di StatPearls di Sigmon e An ed è concesso in licenza CC BY 4.0 ↵
- Questo lavoro è un derivato di StatPearls di Sigmon e An ed è concesso in licenza CC BY 4.0 ↵
- "11720205623covidien-salem-sump-nasogastric-suction-tube-P" di autore sconosciuto, utilizzato in base al Fair Use. Immagine originale disponibile su https://www.healthproductsforyou.com/p-covidien-salem-sump-nasogastric-suction-tube.html?utm_source=google&utm_medium=surfaces&utm_campaign=shopping%20feed&utm_content=free%20google%20shopping%20clicks&gclid=Cj0KCQiAsdKbBhDHARIsANJ6-jcX4iGGwtT30nfQXurA9kiTlvlvBJQNj6BXyuGL4mGAnc40lL0tdCQaArZzEALw_wcB ↵
- "2-Levin-Tube.jpg" di autore sconosciuto è utilizzato secondo la normativa Fair Use. L'immagine originale è disponibile all'indirizzo https://www.smd-medical.com/product-detail/levin-tube-stomach-tube/ ↵
- " COV711006CN_PRI03.JPG " di autore sconosciuto è utilizzato secondo le norme del Fair Use. L'immagine originale è disponibile su https://punchout.medline.com/product/Kangaroo-Dobbhoff-Tip-Nasogastric-Feeding-Tube/Nasogastric-Tubes/Z05-PF10706 ↵
- Movimento per la sicurezza del paziente. (2020). Soluzioni attuabili per la sicurezza del paziente (APSS) n. 15: Posizionamento e verifica del sondino nasogastrico (SNGT). https://patientsafetymovement.org/wp-content/uploads/2017/10/APSS-15-4.pdf ↵
- Questo lavoro è un derivato di StatPearls di Sigmon e An ed è concesso in licenza CC BY 4.0 ↵
- Inserimento del sondino nasogastrico o orogastrico. (2021). Procedure Lippincott. http://procedures.lww.com ↵
- " ETTubeandSNGtubeMarked.png " di James Heilman, MD è concesso in licenza con CC BY-SA 4.0 ↵
- Boullata, JI, Carrera, AL, Harvey, L., Escuro, AA, Hudson, L., Mays, A., McGinnis, C., Wessel, JJ, Bajpai, S., Beebe, ML, Kinn, TJ, Klang, MG, Lord, L., Martin, K., Pompeii‐Wolfe, C., Sullivan, J., Wood, A., Malone, A., & Guenter, P. (2017). Pratiche sicure ASPEN per la terapia nutrizionale enterale. Giornale di nutrizione parenterale ed enterale, 41 (1), 15-103. https://doi.org/10.1177/0148607116673053 ↵
- Boullata, JI, Carrera, AL, Harvey, L., Escuro, AA, Hudson, L., Mays, A., McGinnis, C., Wessel, JJ, Bajpai, S., Beebe, ML, Kinn, TJ, Klang, MG, Lord, L., Martin, K., Pompeii‐Wolfe, C., Sullivan, J., Wood, A., Malone, A., & Guenter, P. (2017). Pratiche sicure ASPEN per la terapia nutrizionale enterale. Giornale di nutrizione parenterale ed enterale, 41 (1), 15-103. https://doi.org/10.1177/0148607116673053 ↵
- Lemyze, M. (2010). Il posizionamento dei sondini nasogastrici. CMAJ: Canadian Medical Association Journal, 182 (8), 802. https://doi.org/10.1503/cmaj.091099 ↵
- Simons, SR e Abdallah, LM (2012). Valutazione al letto del paziente del posizionamento del sondino enterale: allineamento della pratica con le prove. American Journal of Nursing, 112 (2), 40-46. https://doi.org/10.1097/01.naj.0000411178.07179.68 ↵
- Boullata, JI, Carrera, AL, Harvey, L., Escuro, AA, Hudson, L., Mays, A., McGinnis, C., Wessel, JJ, Bajpai, S., Beebe, ML, Kinn, TJ, Klang, MG, Lord, L., Martin, K., Pompeii‐Wolfe, C., Sullivan, J., Wood, A., Malone, A., & Guenter, P. (2017). Pratiche sicure ASPEN per la terapia nutrizionale enterale. Giornale di nutrizione parenterale ed enterale, 41 (1), 15-103. https://doi.org/10.1177/0148607116673053 ↵
- Simons, SR e Abdallah, LM (2012). Valutazione al letto del paziente del posizionamento del sondino enterale: allineamento della pratica con le prove. American Journal of Nursing, 112 (2), 40-46. https://doi.org/10.1097/01.naj.0000411178.07179.68 ↵
- Best, C. (2019). Selezione e gestione dei sondini per l'alimentazione enterale comunemente utilizzati. Nursing Times, 115 (3), 43-47. https://www.nursingtimes.net/clinical-archive/nutrition/selection-and-management-of-commonly-used-enteral-feeding-tubes-18-02-2019/ ↵
- Questo lavoro è un derivato di StatPearls di Sigmon e An ed è concesso in licenza CC BY 4.0 ↵
LICENZA
Nursing Advanced Skills Copyright © 2023 di WisTech Open è distribuito con licenza Creative Commons Attribuzione 4.0 Internazionale , salvo diversa indicazione.
https://wtcs.pressbooks.pub/nursingadvancedskills/chapter/5-2-basic-concepts/
