Pubblicato su "Respiratory Medicine Case Reports" un caso raro dove attraverso un CVC si è avuto un ingresso massivo di aria.
Questo ingresso è stato immediatamente sintomatico ed ha portato alla reintubazione del paziente. L'evento è caratterizzato da una concomitanza di fattori e di scelte ma per raro che sia, è accaduto e lo hanno riportato nel case report.
Gli accessi venosi centrali sono ampiamente utilizzati e per una questione anatomica la punta del catetere è in zona mediastinica dove la pressione è leggermente negativa per questo c'è un controllo continuo ed accurato da parte degli infermieri.
L'articolo "Bubbles in the Heart: A Case of Venous Air Thromboembolism"B. Balakrishnan,∗ Z. Noor, and C.L. Curran, (LINK) riporta un caso veramente raro che valorizza l'attenzione che gli infermieri mettono nella gestione dei CVC.
Il caso è riferito ad un sessantenne con tumore alla lingua e al collo, demenza e schizofrenia, che per insufficienza respiratoria acuta era intubato. Durante la fase di estubazione si è avuta la rimozione del CVC che era posizionato in giugulare.
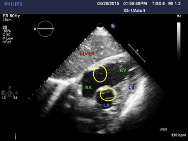
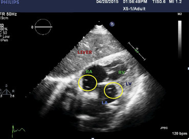
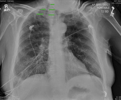
La sintomatologia del paziente è peggiorata rapidamente tanto che hanno provveduto ad un intubazione d'urgenza. Successivamente gli esami hanno mostrato la causa di quel peggioramento critico nelle ecografie e radiografia, sotto.
Altri articoli:
- 2019: Air embolism through open hub of external jugular vein intravenous cannula
- 2019: Massive Air Embolism Caused by a Central Venous Catheter During Extracorporeal Membrane Oxygenation
- 2018: Massive air embolism while removing a central venous catheter
- Pubmed ha molti articoli in chiaro: https://www.ncbi.nlm.nih.gov/pubmed/?term=air+embolism+central+venous+catheter



